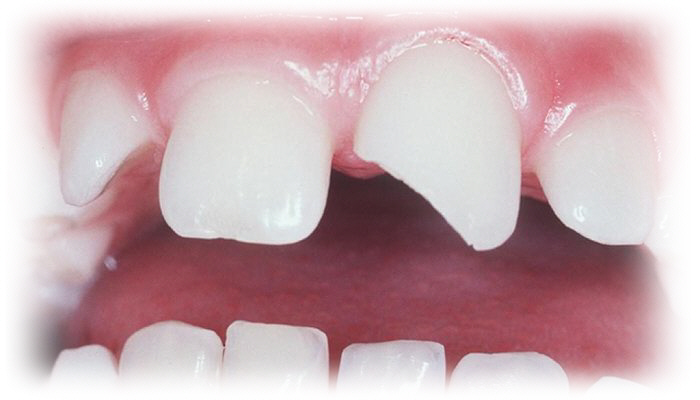
يعتقد الطبيب أنك تعاني من:
  كسر بالأسنان
DENTAL FRACTURE




  عودة إلى السؤال السابق